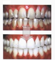
Clareamento Dentário


Porque os dentes mudam de cor?

Como tudo se modifica em nosso corpo ao longo do tempo é natural que os dentes também o façam. A situação se complica quando existem irregularidades no esmalte, recessão gengival, restaurações defeituosas, dentina exposta, etc. Assim os pigmentos tornam-se mais profundos e de difícil remoção.


Como funciona o Clareamento Dental?

É um processo do qual manchas do esmalte e da dentina são clareadas através da oxidação, que remove a mancha por liberação de oxigênio e ação mecânica de limpeza. As moléculas do ingrediente ativo (peróxido de hidrogênio ou peróxido de carbamida) se quebram, por ser altamente instável, e se decompõe em dois subprodutos: água (H2O) e oxigênio nascente (O-). O oxigênio proveniente dessa reação é o responsável pelo clareamento, uma vez que penetra no esmalte e na dentina, clareando as manchas